ฟันน้ำนมผุ ไม่รักษา ลูกเสี่ยงเป็นหนอง ตาบอดตั้งแต่เล็ก
“ ฟันน้ำนมผุ ไม่เห็นต้องรักษา เดี๋ยวพอฟันแท้ขึ้นซี่ที่ผุก็หลุดไปเอง ” ยังมีหลายบ้านที่คิดว่าเวลาเด็กๆ ฟันผุเป็นเรื่องเล็กนิดเดียว ยิ่งถ้าลูกไม่บ่นปวด หรือกินข้าวไม่ได้ ถึงแมงจะกินฟันจนเกือบเหลือแค่ตอ ก็ไม่กังวล เพราะรออีกสักหน่อย เมื่อฟันแท้ขึ้น ลูกจะกลับมามีฟันสวยเหมือนเดิม ถึงตอนนั้นค่อยดูแลรักษาก็ยังทัน
ความจริงแล้ว การดูแลช่องปากของลูกน้อยเป็นสิ่งสำคัญที่ควรใส่ใจตั้งแต่ยังเล็กเพื่อสร้างเสริมสุขภาพฟันที่ดี รวมถึงปลูกฝังการดูแลฟันให้ลูกไปจนโตด้วย หากพ่อแม่ละเลยเรื่องเล็กๆ อย่าง ฟันน้ำผุ อาจนำไปสู่ภัยร้ายไม่คาดฝันเหมือนเด็กวัย 3 ขวบคนนี้
อุทาหรณ์เตือนพ่อแม่ ปล่อยลูก ฟันน้ำนมผุ จนติดเชื้อลามถึงลูกตา เสี่ยงตาบอดสนิท
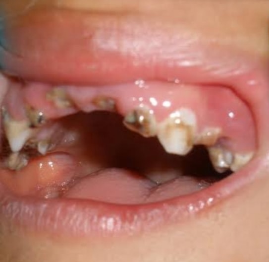
นายแพทย์ อารักษ วงศ์วรชาติ ผู้อำนวยการโรงพยาบาลสิชล จังหวัดนครศรีธรรมราช เผยแพร่ภาพและข้อความ ผ่านเฟสบุ๊กส่วนตัว โดยระบุว่า ผู้ป่วยเด็กชายอายุ 3 ขวบเศษ มาด้วยไข้ ปวดตาซ้าย ตาบวมแดงมาก ตาปิด มองเห็นรางๆ ตรวจในช่องปาก ฟันน้ำนมผุทั้งปาก
มารดา ญาติ ชอบหาอมยิ้มให้เด็กดูด จะได้ไม่ร้องกวน ไม่ค่อยได้แปรงฟัน ไม่ได้เข้าโรงเรียนอนุบาลหรือศูนย์เด็กเล็ก
เอกซเรย์คอมพิวเตอร์ใบหน้า พบมีหนองในไซนัสและเบ้าตา รากฟันบนต้องผ่าตัดถอนฟันทั้งปากที่ผุ ระบายหนองออก ให้ยาต้านเชื้อทางเส้นเลือดอยู่หลายวัน
ดูเผินๆ ฟันน้ำนมผุ ไม่น่าจะทำให้ไซนัสอักเสบจนตาบอดได้ แต่เรื่องนี้มีคำอธิบายจากผู้เชี่ยวชาญ รายการชั่วก่อนแชร์ ทางสำนักข่าวไทย ได้สัมภาษณ์ศาสตราจารย์วุฒิคุณ นายแพทย์ ศักดิ์ชัย วงศกิตติรักษ์ ประธานวิชาการวิทยาลัยจักษุแพทย์แห่งประเทศไทย ถึงประเด็นปล่อยฟันผุเสี่ยงตาบอดได้ จริงหรือ?
“เรื่องนี้เกิดขึ้นได้ เพราะบริเวณโหนกแก้มซึ่งอยู่ระหว่างตากับฟัน มีโพรงอากาศอยู่หรือที่เรียกว่าไซนัส เมื่อมีฟันผุบริเวณฟันบน รากฟันอาจจะจ่อไปถึงไซนัส ทำให้เชื้อโรคลุกลามเข้าไปที่ไซนัส สามารถทะลุต่อไปถึงเบ้าตาของคนได้ ซึ่งทำให้เกิดการติดเชื้ออย่างรุนแรงในเบ้าตา บริเวณนั้นมีเส้นประสาทที่เกี่ยวข้องกับลูกตา การมองเห็นอยู่มากมาย
ส่วนวิธีสังเกตอาการหาก ฟันน้ำนมผุ จนเป็นอันตราย พบว่าถ้าเป็นผู้ใหญ่เมื่อมีอาการอักเสบจะมีไข้ขึ้น จากนั้นจะเริ่มเจ็บบริเวณไซนัส หรือเบ้าตา เริ่มตามัว หรือกรอกตาข้างนั้นได้ไม่สุด
เมื่อฟันผุแล้วได้รับการรักษาแต่ตั้นเป็นวิธีป้องกันได้มากที่สุด ช่วยป้องกันอันตรายที่อาจจะเกิดกับดวงตาถึงขั้นตาบอดได้
แต่ในเด็กเล็กจะอันตรายมากกว่า เพราะนอกจากจะมีฟันผุบ่อยกว่าผู้ใหญ่ ภูมิต้านทานดีสู้ผู้ใหญ่ไม่ได้แล้ว เมื่อเริ่มมีอาการในระยะต้นเด็กอาจจะบอกเราไม่ได้ กว่าจะรู้ว่าเกิดการอักเสบในเบ้าตา ก็อาจจะมีอาการเยอะจนรักษาได้ยาก และอาจสูญเสียดวงตาของเด็กได้
ผู้ปกครองควรดูแลสุขภาพฟันของเด็กให้ดี อย่าให้มีฟันผุ เพราะมีความเสี่ยงจะเกิดการอักเสบลุกลามไปยังดวงตาได้ หากเด็กมีไข้ หรือไซนัส รอบดวงตาอักเสบ ควรรีบพาลูกไปพบแพทย์ตั้งแต่เนิ่นๆ
เพราะโดยทั่วไปเมื่อเกิดการอักเสบบริเวณนี้สามารถรักษาได้ด้วยยาปฏิชีวนะทั้งทางเส้นเลือดหรือรับประทาน ก็หายได้ แต่ถ้ารอจนเป็นเยอะ มีหนองในเบ้าตาจะต้องผ่าตัดเพื่อระบายหนองออก และอาจทำให้น้องอยู่โรงพยาบาลเป็นนับเดือน
หากเกิดการอักเสบรุนแรง จนทำลายลูกตาหรือขั้วประสาทตา อาจทำให้สูญเสียตาข้างนั้นไปได้”
อ่านต่อวิธีป้องกันฟันน้ำนมผุให้ได้ผล หน้า 2
เลี้ยงลูกให้ เก่ง ดี มีสุข ไปกับเรา คลิกติดตามที่

